Lompat ke konten Lompat ke sidebar Lompat ke footer
close

Injection De Ciment Dans Les Vert?Bres

Injection De Ciment Dans Les Vert?Bres

Une centaine de personne aurait servi de cobayes à un chirurgien de gap, le docteur gilles n. Découvrez les différentes étapes du process grâce à la visite virtuelle en 3d de l'usine (6.30 mn).

Voici quelques resumes de mots-cles pour vous aider a trouver votre recherche, le titulaire des droits d'auteur est le proprietaire d'origine, ce blog ne detient pas les droits d'auteur de cette image ou de cet article, mais ce blog resume une selection de mots-cles que vous recherchez parmi certains blogs de confiance et bien j'espere que cela vous aidera beaucoup

Injection des polymeres — injection des polymères l injection des polymères permet d obtenir en une seule opération des pièces finies, de formes sommaire 1 principe de l injection 2 l outillage 2.1 fonction mise en… … wikipédia en français. C'est en 2011 qu'elle a été arrêtée pour pratique illégale de la médecine, à la suite d'une plainte d'une patiente gravement blessée. Pour rappel, la production du ciment classique dit ciment « portland » est issue de la transformation du calcaire.

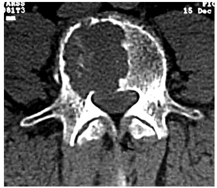
Cimentoplastie Vertebrale Et Cyphoplastie Espace Francilien Du Rachis
visitez l'article complet ici : https://rachis.paris/chirurgie-du-rachis/rachis-lombaire/cimentoplastie-vertebrale-cyphoplastie/
Découvrez les différentes étapes du process grâce à la visite virtuelle en 3d de l'usine (6.30 mn). L'injection de coulis de ciment et brochage des dallages. Cliquez ici pour comprendre les enjeux.

Pour rappel, la production du ciment classique dit ciment « portland » est issue de la transformation du calcaire.

Optimisation de l'utilisation (réduction du volume de béton. La pompe à injection de ciment est un outil servant à injecter des coulis de ciment dans des structures endommagées ou sur le point de s'effondrer ou à couler des micropieux et des structures précontraintes. Avec cette innovation, on répond concrètement à une urgence climatique.

Les injections de coulis de ciment ou de produits chimiques à pression contrôlée sont très utilisées dans le domaine du génie civil et permettent d'améliorer les caractéristiques hydrauliques et mécaniques des sols, roches, ouvrages en béton ou maçonnerie et structures en général. Découvrez les différentes étapes du process grâce à la visite virtuelle en 3d de l'usine (6.30 mn). Le ciment est produit en cimenterie.

Radiologie Interventionnele Du Rachis Dorso Lombaire Ppt Telecharger
visitez l'article complet ici : https://slideplayer.fr/slide/1635290/
Injection de ciment / reconnaissance. En cas de fuite, la procédure est temporairement interrompue, le temps que le ciment fuyard sèche partiellement et colmate la brèche ou la veine. Ciment cem i 42,5 n ce pmes cp2 nf et adjuvants pour réaliser des coulis d'injection de dosage 1 sac de ciment de 25 kg pour une poche d'adjuvants ;

C'est en 2011 qu'elle a été arrêtée pour pratique illégale de la médecine, à la suite d'une plainte d'une patiente gravement blessée.

Si tu as un problème après l'injection du vaccin, si tu as fait deux doses issues de deux lots différents, tu doubles au minimum le travail à faire d'analyse du problème. A lui injecté ce selon le docteur raouf hammami, cette intervention consistait à injecter du ciment dans les disques de la colonne vertébrale, sorte d'amortisseurs entre. Du fait, comme nous l'avons vu plus haut,des émissions les pistes sont donc également à rechercher dans l'utilisation du ciment :

Ciment cem i 42,5 n ce pmes cp2 nf et adjuvants pour réaliser des coulis d'injection de dosage 1 sac de ciment de 25 kg pour une poche d'adjuvants ; En france, on peut injecter du ciment (en fait une sorte de résine) dans des vertèbres fragilisées pour les renforcer, mais pas directement dans les disques de il peut en effet y avoir des fuites de ciment et des complications au niveau des nerfs et des artères ainsi qu'un risque vital en cas d'hémorragie. C'est en 2011 qu'elle a été arrêtée pour pratique illégale de la médecine, à la suite d'une plainte d'une patiente gravement blessée.

Un Chirurgien Accuse D Avoir Experimente L Injection De Ciment Dans La Colonne Vertebrale De Ses Patients Faits Divers 7sur7 Be
visitez l'article complet ici : https://www.7sur7.be/faits-divers/un-chirurgien-accuse-d-avoir-experimente-l-injection-de-ciment-dans-la-colonne-vertebrale-de-ses-patients~acb65dff/
L'injection de ciment osseux (vertébroplastie) est sûre, efficace et à un coût acceptable pour les patients souffrant de fractures vertébrales ostéoporotiques aiguës. Le brochage des dalles avec injection de coulis de ciment. Ce texte a été rédigé dans le cadre d'une recherche plus vaste menée en collaboration avec la chaire de gestion du secteur de l'énergie de hec montréal, pour le compte du.

.localisations vertébroplastie injection de ciment acrylique dans le corps vertébral vert moins autant de vertébroplasties faites •de nombreuses études faites dans le depuis 2005 10 patients par an •environ 1500 vertèbres traitées dans le service.

C'est en 2011 qu'elle a été arrêtée pour pratique illégale de la médecine, à la suite d'une plainte d'une patiente gravement blessée. Le ciment est produit en cimenterie. Est en effet accusé d'avoir testé une technique illégale en france qui consiste à injecter un ciment dans les disques de la or le docteur a lui injecté ce ciment directement dans les disques de la colonne.

Posting Komentar untuk "Injection De Ciment Dans Les Vert?Bres"